This is Trooper, a very sweet Lab/Hound mix who just arrived last night from a shelter in Shreveport, Louisiana. One look at his front legs and you can see this is a boy who needs medical attention. Rebecca Y., who’s with a rescue group called Animal Rescue, Inc., in Shreveport, emailed us on Thanksgiving Day to ask if we could take Trooper. He had just been dumped by his owners at a local shelter. After looking at the photos Rebecca sent, I emailed her back Thanksgiving evening and said we’d take him.
It took a while to work out the transportation logistics. He was too big to fly out of Shreveport or fly into Missoula, because those airports use the small regional jets that limit crates to the "large" size … which is about big enough for a Cocker Spaniel. They won’t take extra-large or giant kennels, which means we had to find airline routes using bigger jets flying into airports as close to us as possible. That turned out to be a Northwest flight from Dallas to Minneapolis and then on to Spokane, Washington, and we booked his flight for yesterday. I had earlier called a pet store in Shreveport and purchased a crate that Rebecca could use for Trooper.
Rebecca found a volunteer who kindly drove Trooper to Dallas to catch his outbound flight. Once I confirmed he was at DFW, we got in the truck and started the four-hour drive to Spokane. With me was Gloria G., who started working here at the ranch a few weeks ago. Trooper’s flight didn’t arrive last night until 10:40 p.m. in Spokane, but by the time the airplane was unloaded and he was brought over to the cargo area, it was after midnight. It was bitterly cold — 13 degrees with an ice fog, and snow on the ground. For a while we were worried that the plane wouldn’t be able to land, but fortunately it did.
We were shocked at how skinny Trooper was. His ribs were sticking out, and his hip bones jutted out, too. We noticed his right rear leg was atrophied and he often held it up in the air, although occasionally he’d put it down on the ground. Here’s what he looked like from the top:
I had already scheduled an appointment with one of our board-certified veterinary surgeons in Spokane, Dr. Joseph Harari, to see Trooper this morning. So after a few hours of sleep in a Spokane hotel, Gloria and I arrived at the clinic with Trooper at 8 a.m. Here is Joe doing a physical exam on him:
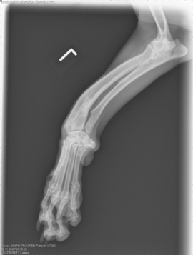
Next came X-rays, and because the clinic has a digital X-ray system, we were looking at the radiographs in less than 5 minutes. They told the full story about Trooper’s condition. This is the view of his front left leg:
In simplest terms, two bones in his leg — the radius and ulna — never grew at a normal rate. The ulna, in fact, stopped growing … and this "blocked" the radius from growing normally. The radius continued to try to grow, but had nowhere to go and ended up curving out in a ‘bowstring’ effect. Trooper’s right foot does this, too, but to a much smaller extent.
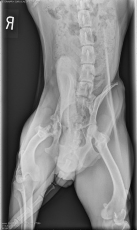
Trooper’s right hip was a disaster, as you can see from this X-ray. (His right hip is on the left side of this image as you look at it … you may need to click on the image to enlarge it.) Not only did he have a broken pelvis at one point, but the head of his femur — the "ball" that goes in the hip socket — was obliterated:
Joe said Trooper’s hip damage was from trauma of some sort … but what we don’t know. This poor dog has suffered from a birth defect at the front end and from trauma at the back end.
So Trooper needs at least two rounds of surgery — one to fix his front leg, and another to clean out his hip joint. The front leg surgery is the major one and will require rods and pins, two months of intensive nursing after the operation, and weekly trips to Spokane during those two months for the surgeons to check on the leg’s progress. Joe is going to write up the surgery procedures, costs and post-op treatment plans to send me so we’ll have a very good idea of what we’re looking at. But in the meantime, Joe doesn’t want to do any surgery on Trooper until we get some groceries in him! Given his current physical condition, he doesn’t think Trooper is a good candidate for surgery.
After we left the clinic, we stopped at the Spokane County shelter to pick up not one but two three-legged cats the staff had called us about. More on those two in a future post!
Gloria and I arrived back at the ranch this evening with Trooper and cats in tow. Although we haven’t had a chance to get to know the cats yet, I will tell you that Trooper is one of the nicest, sweetest dogs we’ve ever seen. We have already fallen in love with him … as did the clinic staff. He is really quite something.
It cost $644.20 to fly Trooper out, $179 for his giant crate, and $323 for his first vet exam today … and clearly we have a lot more to go on this boy. But thanks to the sanctuary’s supporters, Trooper is going to get all the medical care he needs. Yes, it will be expensive — but he’s very much worth it. As for the love he’s already getting — well, that’s free!
(Click on photos for larger image.)





Leave a comment